A devastating accident almost claims the life of a pregnant woman. But her care team was there in a race against time.
Read MoreProcedure relieves severe neck and arm pain and numbness for emergency department nurse.
Read MoreRecent retiree Hilary Vos overcame severe knee pain with joint replacement surgery using Mako SmartRobotics now available at UC Davis Health. It often leads to quicker recovery times and longer-lasting joint implants.
Read MoreUC Davis Children’s Hospital is ranked among the nation’s 50 best in pediatric orthopaedics, pediatric nephrology and pediatric pulmonology and lung surgery.
Read MoreA new study from rheumatology and orthopaedic researchers reveals a promising new way to treat various bone loss conditions, including age-related osteoporosis.
Read MoreAn 8-year-old boy needed treatment for an osteoid osteoma. His family turned to UC Davis Children’s Hospital to get him back in the game.
Read MoreUC Davis Health has unveiled its new Folsom facility, which offers primary and specialty care and new services, including infusion, MRI and bone density scans.
Read MoreUC Davis Medical Center is the No. 1 hospital in the Sacramento region and No. 7 in California, according to U.S. News & World Report.
Read MoreIt's Sarcoma Awareness Month. Shingle Springs Subaru is honored by cancer center for raising support and money for research to fight the disease.
Read MoreMore than $2.2 million in Department of Defense research funding is headed to Orthopaedic Surgery scientists to study bone and joint health.
Read MoreMichael McGrath’s complicated medical history caused some surgeons to turn down his request for surgery to restore his mobility. Thanks to a UC Davis Health orthopeadic surgeon, he’s back on his feet.
Read MoreUC Davis Health pediatric orthopaedic surgeon Brian Haus is leading a North American effort to find the best treatment for meniscus tears in young patients.
Read MoreIn a Q&A, Professor of Neurobiology and Physiology Keith Baar discusses the effects of collagen, whey protein and omega-3 supplements on bone, tendons and joint health.
Read MoreA team of scientists at UC Davis and UCSF have identified a molecule that increases bone density and strength and could lead to treatment of osteoporosis.
Read MoreSurgeon Amanda Whitaker has received a grant from the Pediatric Orthopaedic Society of North America to study how to reduce opioid use in children.
Read MoreThe Department of Orthopaedic Surgery raises awareness during Childhood Cancer Awareness Month.
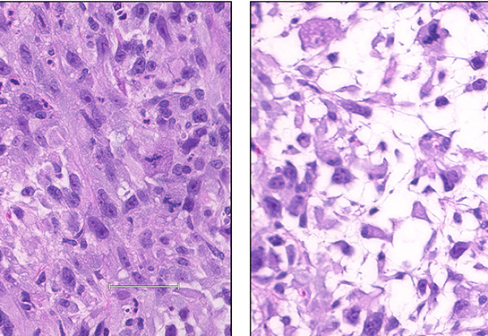
Read MoreResearchers at UC Davis and UCLA have created models for four sarcoma subtypes using stem cells. The findings may lead to new therapies.
Read MoreOtolaryngology surgeons are at the forefront of using augmented reality in surgeries. They are evaluating how this leading-edge technology can improve surgical procedures.
Read MorePickleball injuries, like fractures, ligament ruptures and muscle strains, are on the rise. UC Davis Health orthopaedic surgeons share tips to stay safe while playing this popular sport.
Read MoreA finger injury at age 14 set Noah Lyndall on a path that brought him to the School of Medicine where he is among 139 new, first year students.
Read More